すべての投稿
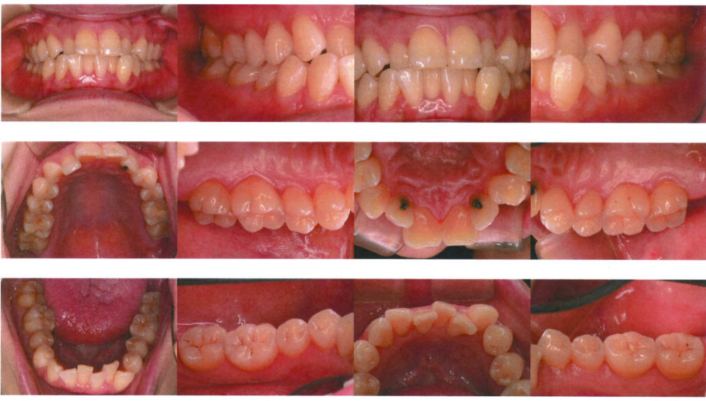
矯正歯科
ワイヤー矯正

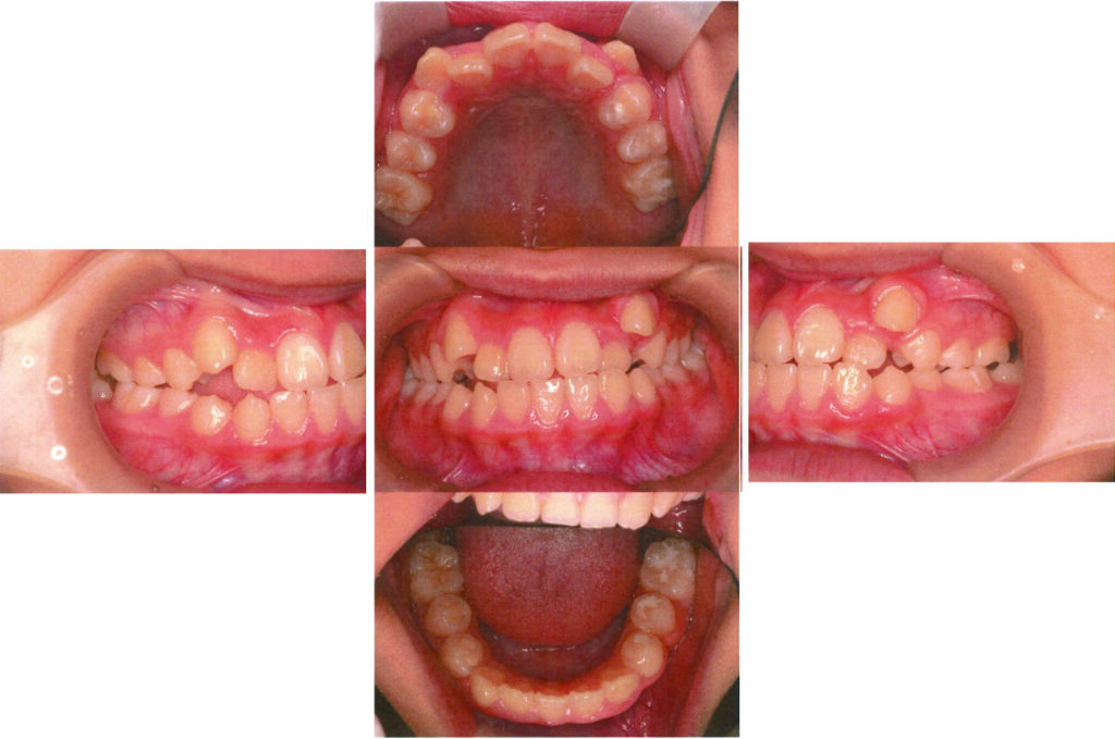
Before

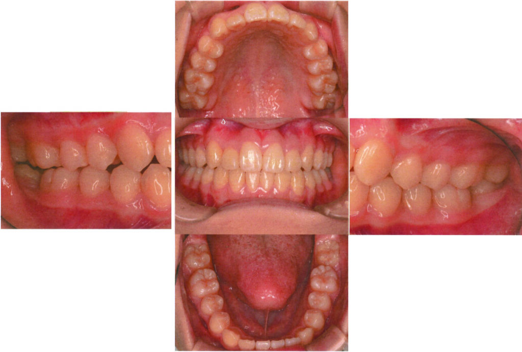
After
| 主訴 | 歯並びが気になる |
|---|---|
| 診断名 | そう生、前歯のクロスバイト |
| 年齢・性別 | 12歳 女性 |
| 治療期間・回数 | 検査期間:1日 回数:1回 ワイヤー矯正 期間:2年 回数:24回 保定期間:2年 回数:30回 |
| 治療方法 | ワイヤー矯正 |
| 費用 | 600,000円(保定まで含む)2017年契約時 |
| デメリット・注意点 | むし歯になりやすい |
| 備考 | ワイヤー矯正時はむし歯になりやすいので、1ヶ月に1回の矯正治療時に無料のPMTCが入ります。毎月歯ブラシをご持参ください。 |
矯正歯科
小児インビザライン

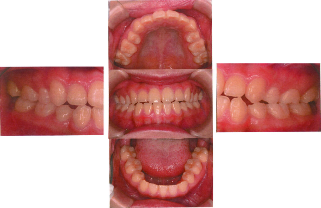
Before

After
| 主訴 | 歯並びが気になる |
|---|---|
| 診断名 | そう生、前歯部クロスバイト |
| 年齢・性別 | 14才 女性 |
| 治療期間・回数 | 検査期間:1日 回数:1回 インビザライン 期間:1年11 ヶ月 回数:26 回 保定期間:2年 回数:8回 |
| 治療方法 | インビザライン矯正 |
| 費用 | 700,000円(保定まで含む)2022年契約時 |
| デメリット・注意点 | 毎日マウスピースを装着 |
| 備考 | 毎日マウスピースを装着していただかないと、予定通りに矯正治療が進まないことがあります。 |
矯正歯科
成人インビザライン

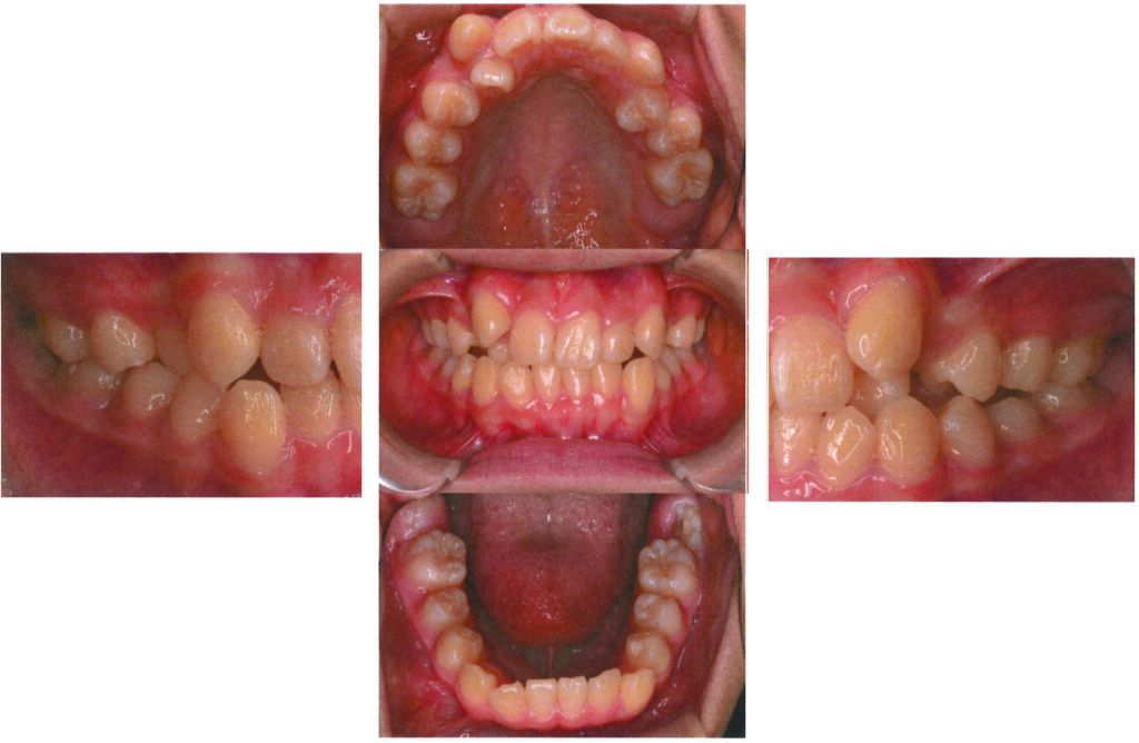
Before

After
| 主訴 | 歯並びが気になる |
|---|---|
| 診断名 | そう生、前歯部クロスバイト |
| 年齢・性別 | 30代 |
| 治療期間・回数 | 検査期間:1日 回数1回 インビザライン: 1年8ヶ月 回数:22回 保定期間:2年 回数:8回 |
| 治療方法 | インビザライン矯正 |
| 費用 | 1,000,000円(保定まで含む)2020年契約時 |
| デメリット・注意点 | 毎日マウスピースを装着 |
| 備考 | 毎日マウスピースを装着していただかないと、予定通りに矯正治療が進まないことがあります。 |
むし歯治療
かばさんコース

Before

After
| 主訴 | むし歯の治療をしたい |
|---|---|
| 診断名 | カリエス |
| 年齢・性別 | 初回3才4ヶ月 |
| 治療期間・回数 | 半年に1回 25回済み 約12 年 シーラント:2~6 ヶ月に1回 |
| 治療方法 | シーラント(保険診療、受給者証範囲 |
| 費用 | 半年に1回 4,000円 2025年1月~ 5,000円 |
| デメリット・注意点 | シーラントは剝がれたりかけたりするので、定期的なメインテナンスが必要 |
| 備考 |
ホワイトニング
ホワイトニング

Before

After
| 主訴 | 歯の色を白くしたい |
|---|---|
| 診断名 | 審美障害 |
| 年齢・性別 | 20代後半 男性 |
| 治療期間・回数 | 検査期間:トレー作成1回 トレーセット、薬液配布:1回 |
| 治療方法 | ホワイトニング |
| 費用 | 初回:22,000円 薬液のみ:1回11,000円 2025年5月契約時 |
| デメリット・注意点 | 3ヶ月に1回のタッチアップ必要 |
| 備考 | ホワイトニングの患者さんはタッチアップが必要なため、ホワイトニングコーディネーターの資格を持った歯科衛生士のかめさんコースを併用していただいています。 |
